Уральские врачи спасли женщину, упавшую с седьмого этажа во время мытья окон
В состоянии травматического шока женщину доставили в больницу.
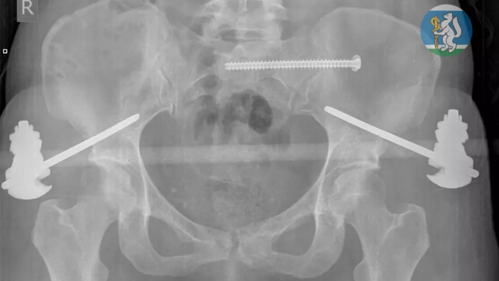
Диагнозы звучали как приговор: черепно-мозговая травма, повреждение шейного отдела позвоночника, множественные переломы костей таза, травма грудной клетки с повреждением лёгких, открытые оскольчатые переломы левой ноги. Большинство с такими травмами погибают ещё до приезда скорой.
«Пациентка была крайне нестабильной, любые хирургические вмешательства сопровождались высоким риском. Но анестезиологи-реаниматологи обеспечили врачам возможность оперировать», — пояснил заведующий травматологическим отделением Евгений Козлов.
Операция длилась несколько часов. Полторы недели в реанимации на ИВЛ, потом перевод в травматологию и ещё одна операция. Но врачи выбрали тактику ранней активации — и женщина снова начала двигаться. Через месяц её выписали в удовлетворительном состоянии. Сейчас она проходит реабилитацию.
Фото: Минздрав Свердловской области
